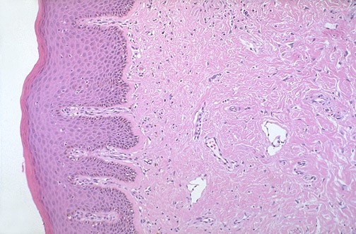
At medium power can be seen the overlying keratinizing
stratified squamous epithelium
of the epidermis. The dermis can be divided into the upper
papillary dermis
beneath the epidermis and the lower
reticular dermis
.