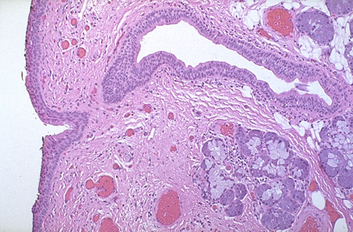
This is the nasopharynx, with a
pseudostratified epithelium
overlying a submucosa that contains prominent
mucus-secreting glands
.