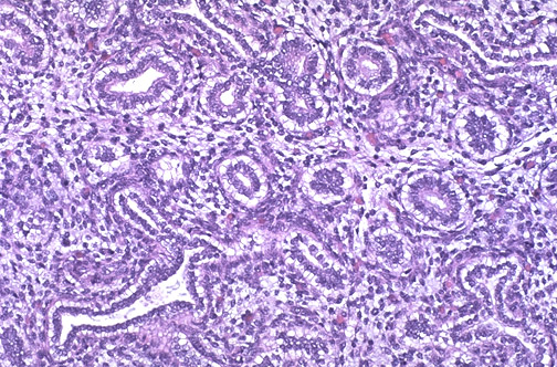
In the first part of the second trimester, the fetal lung is in the glandular phase (tubular phase) of development. There are only primitive rounded bronchioles, and no alveoli have yet formed.