
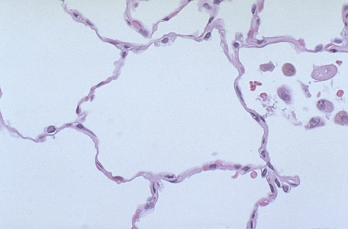
| The delicate alveolar walls of the lung are seen here at high magnification. The attenuated alveolar epithelial cells cannot be distinguished. Capillaries are present in the alveolar walls. Within the alveoli can be found occasional alveolar macrophages. |