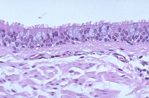
At medium power can be seen the pseudostratified columnar epithelium lining the lumen of the trachea in the upper respiratory tract. This epithelium has
ciliated cells
as well as some
mucus cells
.