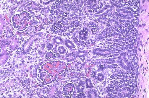
In the outer cortex of the fetal kidney below the capsule is the nephrogenic zone composed of primitive dark blue cells in which development of glomeruli and tubules is taking place.