
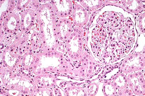
| Yes, the juxtaglomerular apparatus really does exist. Seen here is the afferent arteriole entering the glomerulus at the vascular pole. The juxtaglomerular apparatus is a region of specialized smooth muscle cells called JG cells located in the afferent arteriole which, along with a set of columnar cells called the macula densa in the adjacent segment of distal convoluted tubule, sense changes in blood pressure and sodium concentration. The JG cells secrete renin to maintain blood pressure and volume control. |