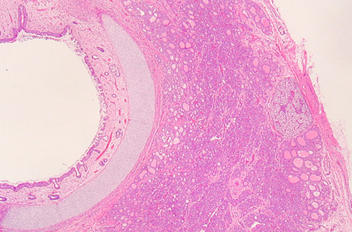
At low magnification can be seen the
tracheal lumen
along with
tracheal cartilage
and the adjacent
thyroid gland
. A
parathyroid gland
is also seen.