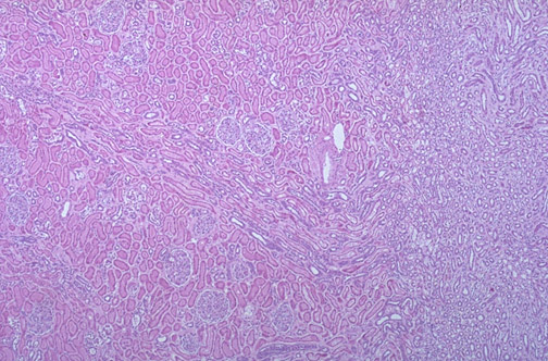
The corticomedullary junction of the kidney is seen here, with the
cortex
in which can be seen a
medullary ray (renal column)
extending to the medulla, and the
medulla
.