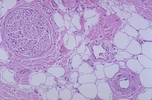
Seen here are a normal
arteriole
alongside a normal
venule
and a small
peripheral nerve
, all in cross section. The vascular supply and nerves to tissues are often grouped into a neurovascular bundle.