
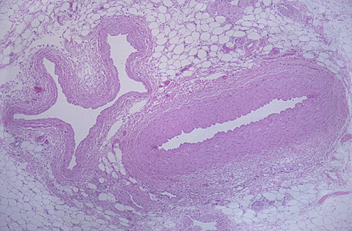
| Seen here in cross section are a normal artery with a thick smooth muscle wall alongside a normal vein with a thin smooth muscle wall, running in connective tissue in a fascial plane between muscle bundles of the lower leg. The larger arteries and veins are often grouped, along with a nerve, into a neurovascular bundle. |