
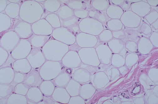
| This is the normal appearance of adipose tissue. Note that there is a thin cell membrane that bounds the cytoplasmic lipid, which appears clear in this section because normal tissue processing removes lipids. The cell nucleus is pushed to one side by the lipid. Connective tissue septae divide lobules of fat and carry the vascular supply. |