
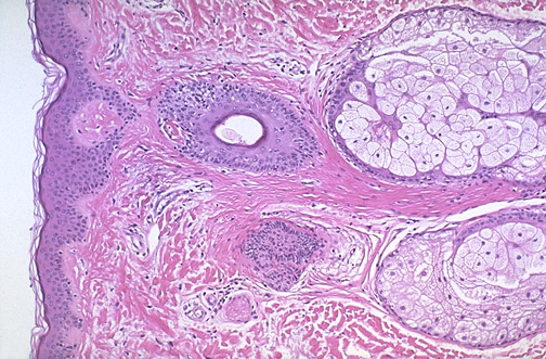
| The normal histologic appearance of the skin is shown here. At the top is the epidermis. A thin layer of keratin overlies the epidermis. This layer of keratinization is thicker on the palms and soles and in areas where skin is rubbed or irritated. Beneath the epidermis is the dermis containing connective tissue with collagen and elastic fibers. At the center can be seen a hair follicle with surrounding sebaceous glands. Associated with the hair follicle is a small bundle of smooth muscle known as the arrector pili that can cause the hair to "stand on end" and dimple the skin to form "goose bumps". |