
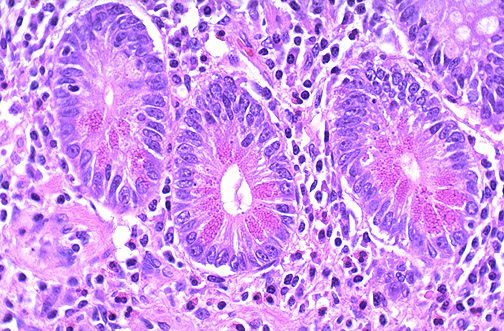
| At high magnification the base of the crypts of the small intestinal mucosa demonstrate prominent Paneth cells with bright red cytoplasmic granules. Paneth cells become more numerous toward the ileum. The lamina propria has scattered inflammatory cells that play a role in immune activation and defense. |