
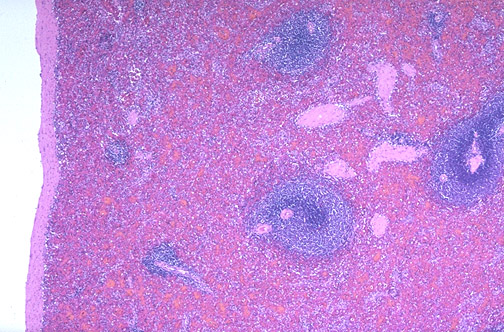
| This is the normal appearance of the spleen at low power with white pulp (lymphocytes) surrounding a central arteriole. The red pulp forms the bulk of the splenic parenchyma. The splenic capsule is seen at the left, and connective tissue is also present within the spleen as trabeculae that carry the arteries, veins, and nerves from the hilum. |