
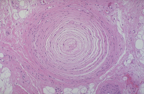
| The dermis of the skin contains many specialized nerve endings that provide for sensation. Most can only be identified with special staining techniques, but here is one large enough to view with a routine H&E stain. Seen here at high magnification is a pressoreceptor known as a Pacinian corpuscle. This pressoreceptor happens to come from a toe, where pressure sensation is critical to balance and movement. |