
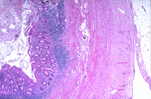
| This is the appendix at low magnification with the mucosa and the submucosa with prominent lymphoid tissue beneath which are the inner circular and the outer longitudinal smooth muscle coats, all surrounded by a serosa with adjacent adipose tissue. The lumen of the appendix is typically filled with fecal material. |