
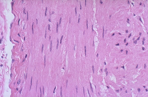
| This is the normal appearance at high magnification of the smooth muscle that composes the muscularis of the small intestine. These cells are seen in cross section in the inner circular layer. Note that the smooth muscle cells have a long, tapered shape and have central elongated nuclei as seen in the outer longitudinal layer. These cells tend to blend together. Smooth muscle has an autonomic innervation. |