
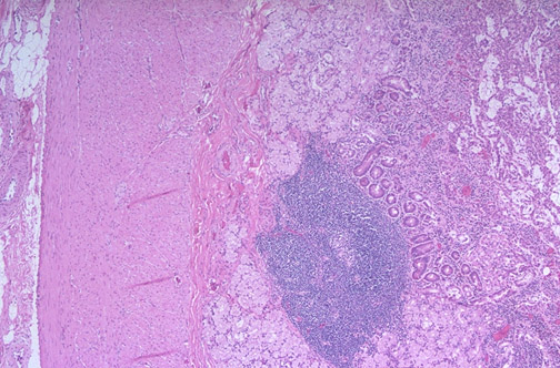
| This is the low power microscopic appearance of the duodenum with the mucosa, the submucosa, the muscularis with both the inner circular as well as the outer longitudinal coats of smooth muscle. There is a lymphoid nodule in the submucosa, characteristic for gut-associated lymphoid tissue. Characteristic for duodenum are submucosal Brunner's glands. There is an outer serosa. The myenteric plexus is found between circular and longitudinal muscle bundles, while the Meissner's plexus is found in the submucosa. |