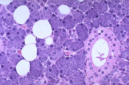
At high magnification, the normal parotid gland has acini composed of
serous cells
with abundant darkly staining granules. There are admixed
fat cells
, and some
ducts
lined by cuboidal epithelium are present.