
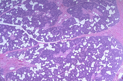
| Normal parotid salivary gland is seen here at low power. Parotid is composed of serous cells that contain dark granules from which enzymes such as amylase and maltase are released. There are admixed fat cells, and between lobules of acini are connective tissue septae through with the larger ducts are found. |