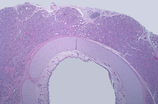
The normal fetal thyroid gland reveals the relationship of the thyroid anterior to the tracheal cartilage in the neck.