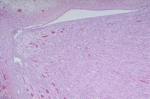
This low power view of a renal papilla reveals the calyx at the left with the collecting system draining into it.