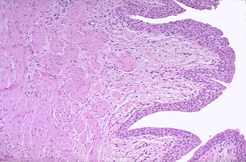
At medium power the muscular coats of the normal ureter are seen to consist of an
inner longitudinal
and an
outer circular
layer of smooth muscle. There is a
transitional epithelium
and underlying
lamina propria
.