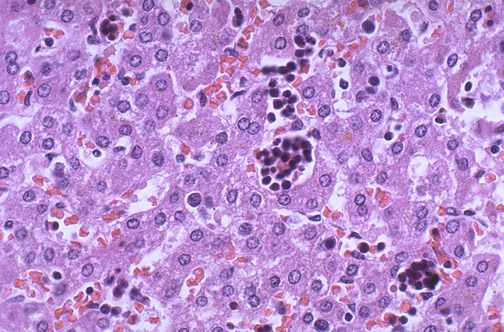
This is normal fetal liver at high power with islands of extramedullary hematopoiesis (mainly RBC precursors) along with the liver cords. In addition to albumin, the fetal liver produces alpha-fetoprotein.