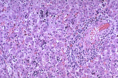
This is normal fetal liver at medium power demonstrating that at term there are islands of extramedullary hematopoiesis along with the liver cords. Note the triad to the right