
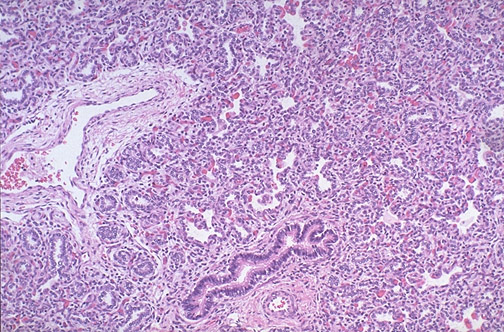
| At low magnification, normal fetal lung appears much more cellular than the adult lung. The alveoli have not developed completely and the interstitium is more prominent. In this view of the canalicular phase in the late second trimester, the bronchioles are forming sacculations that will become the alveoli. There are developing bronchi and pulmonary artery branches. |