
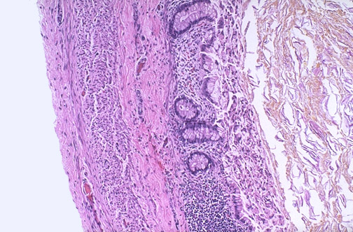
| This is normal fetal colon at low magnification with mucosa containing crypts with abundant goblet cells. There is an underlying submucosa with abundant lymphoid tissue and beneath this a muscularis. Note that the lumen is filled with faint brown-orange meconium. |