
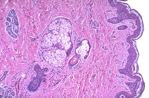
| Normal baby skin is shown here at medium magnification. The keratinizing squamous epithelium is supported by the papillary dermis. Note that the thickness of the baby's epidermis and keratin layer is much thinner than the adult, so that baby is more sensitive to temperature changes and various forms of skin irritants. BE CAREFUL !! There are hair follicles and accompanying adnexae including sebaceous glands and sweat glands in the reticular dermis. |