
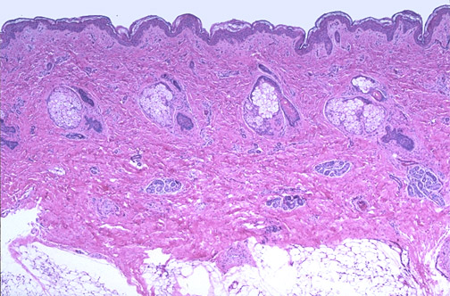
| Normal baby skin is shown here at low magnification. The keratinizing squamous epithelium is supported by the papillary dermis. There are hair follicles and accompanying adnexae including sebaceous glands and sweat glands. Beneath the reticular dermis is the subcutaneous adipose tissue. |