
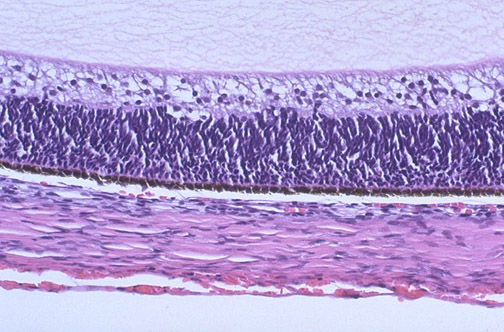
| The structures of a normal fetal retina are seen starting anteriorly, including the vitreous body, the inner limiting membrane, a primitive layer that is differentiating into various layers that will include rods and cones, the pigment epithelium, and the sclera. |