
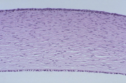
| The structures of a normal fetal cornea are seen starting anteriorly, including the stratified squamous epithelium, the Bowman's membrane, the substantia propria or stroma which is mainly type 1 collagen, the Descemet's membrane, and the Descemet's endothelium. |