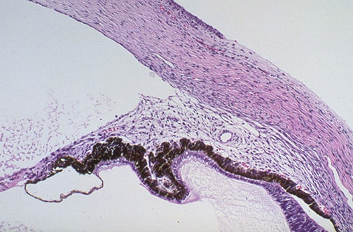
The structures of a fetal eye are seen here at low magnification, including the
cornea
, the
anterior chamber
, the
trabecular meshwork
, the
canal of Schlemm
, the
iris
, the
ciliary body
, and the
sclera
.