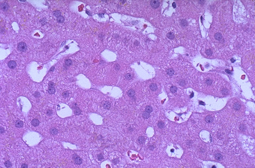
At high power liver demonstrates a pattern of
cords of cells
with a nucleus and granular pink cytoplasm and some light brown lipochrome pigment. The sinusoids have scattered
Kupffer cells
, which have a macrophage-like function.