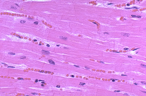
Normal cardiac muscle in longitudinal section shows a syncytium of
myocardial fibers
with
central nuclei
. Faint pink
intercalated discs
cross some of the fibers. Red blood cells are seen in single file in
capillaries
between the fibers.