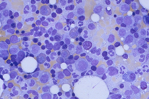
This is the appearance of normal bone marrow smear at high magnification. Note the presence of an
eosinophilic myelocyte
, a
basophilic myelocyte
, and a
plasma cell
.