
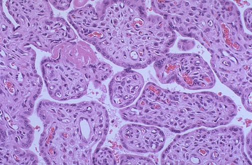
| As the placenta matures in the second trimester, the villi become smaller and more vascular. The syncytiotrophoblast layer is marked by the appearance of "syncytial knots" which are small multinucleated clusters, and the remaining syncytiotrophoblast surrounding the villi becomes attenuated; the cytotrophoblast layer becomes indistinct. Clumps of pink fibrin begin to appear between the chorionic villi. |