
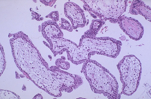
| In the first trimester, the chorionic villi of the placenta are large and covered by two layers of cells--the darker inner cytotrophoblast and the outer syncytiotrophoblast with abundant pink cytoplasm. The blood vessels within each villus are not prominent at this time. Maternal blood circulates between the villi |