
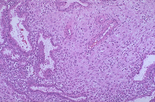
| The decidua, composed of large pale pink cells, along with some arterioles, is seen here, along with some tortuous large endometrial glands. The placenta normally implants into the lateral uterine fundus and is supported by a layer of decidualized endometrium. |