
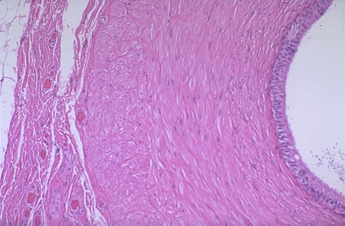
| Normal vas deferens is seen at low power, with an inner circular and outer longitudinal layer of smooth muscle. There is a ciliated pseudostratified columnar epithelium (with small indistinct basal cells next to the basement membrane) surrounding the central lumen at the right. |