
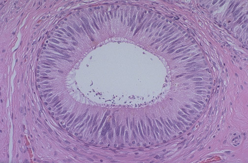
| Normal epididymis is seen here at medium magniÞcation. This ductule will conduct the spermatozoa to the vas deferens. It is lined by a tall columnar epithelium with small basal cells supported on a basement membrane surrounded by a thin lamina propria and a thin circular layer of smooth muscle. |