
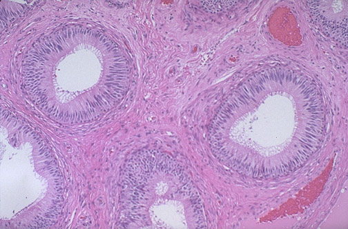
| Normal epididymis is seen here at low magnification. The ductules are lined by ciliated tall columnar epithelial cells, beneath which is a layer of small basal cells, a thin lamina propria, and a thin circular layer of smooth muscle. The ductules are surrounded by a connective tissue stroma containing blood vessels. |