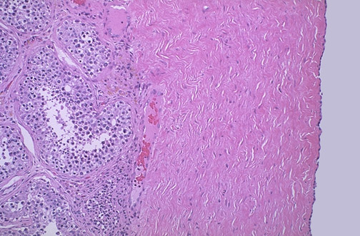
Normal tunica albuginea of adult testis is seen microscopically at low power, composed mainly of dense collagen, and bounded by a thin single mesothelial cell layer at the right. Normal testicular tubules are at the left.