
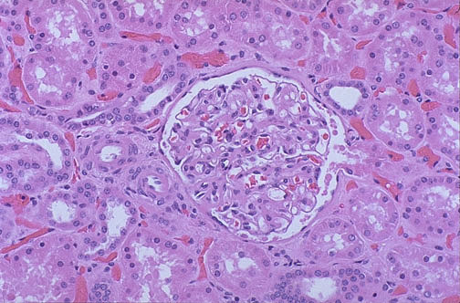
| A normal glomerulus at high power is seen with surrounding proximal and distal convoluted tubules. The glomerulus has numerous capillary loops. The outflow from Bowman's space into the beginning of a proximal tubule is seen. The afferent and efferent arterioles are near the vascular pole of the glomerulus. The juxtaglomerular apparatus would be located in this region. |