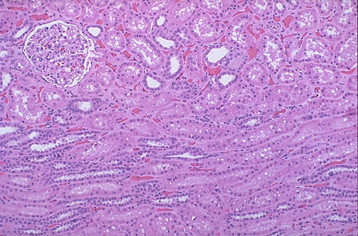
A normal glomerulus at medium power is in the cortex, adjacent to a column of collecting tubules that extend in medullary rays down to a renal papilla interfacing with a calyx.