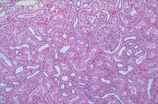
A normal
glomerulus
within the renal cortex seen at medium power has surrounding tubules. The
proximal tubules
have a taller, pinker epithelium compared to the thinner epithelium of the
distal tubules
.