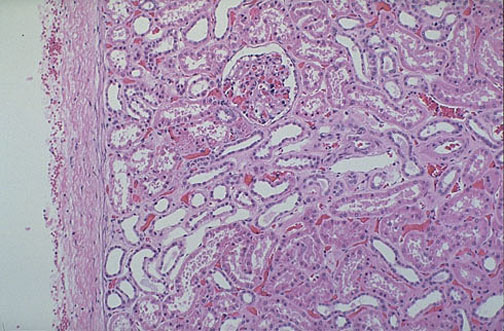
The normal kidney at low power has a thin connective tissue capsule at the left with underlying renal cortex which here contains a glomerulus and surrounding tubules with cuboidal epithelium.