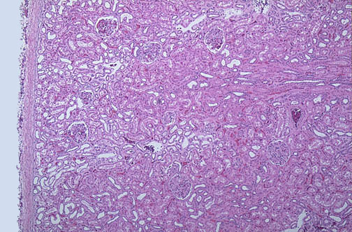
The normal kidney at low power has a thin connective tissue
capsule
at the left with underlying renal cortex which contains the
glomeruli
and the
tubules
.