
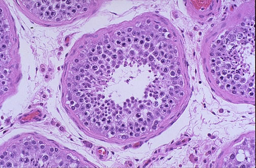
| Normal adult testis is shown here at medium power, with a seminiferous tubule surrounded by interstitium. The tubule contains primary and secondary spermatogonia, and spermatozoa. The Sertoli (sustentacular) cells are indistinct because the germ cells are so numerous. |