
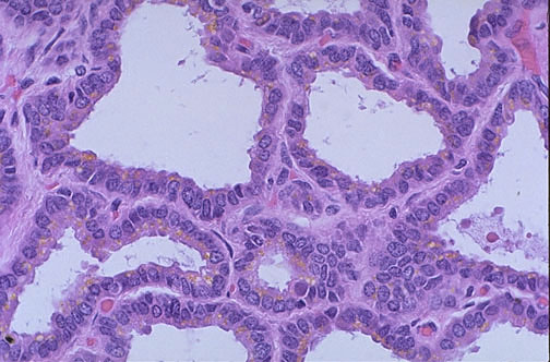
| The cuboidal epithelium of normal seminal vesicle contains a light brownish-yellow ceroid pigment (similar to lipochrome), shown here at high power. (There are two glands in the body that form a brown pigment. The other? --the obscure but sometimes annoying ceruminous glands of the external auditory canal that form "ear wax". |